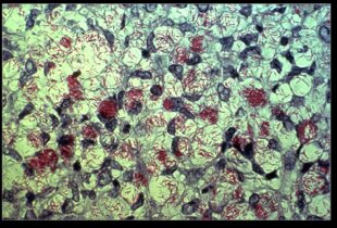
Mycobacterium laprae

Lepra (guba)

Objavljeno: 17. siječnja 2019.
Lepra ili guba je kronična zarazna bolest koju uzrokuje acidorezistentni, štapićasti bacil Mycobacterium leprae. Naziva se još i guba te...